
코로나19가 끝나니.. 또 다른 것이 몰려오네요..
세계 각국에서 원숭이두창에 감염된 확진자가 속출하고 있습니다.
이에 질병관리청은 31일 원숭이두창에 '관심' 단계의 감염병 위기 경보를 발령한다고 밝혔습니다.
우리나라의 감염병 위기 경보는 관심 → 주의 → 경계 → 심각 4단계로 나누어 적용하고 있습니다.
'관심' 단계는 해외 신종 감염병의 '발생과 유행'시 발령하는 조치입니다.
또한 방역당국은 이날부터 대책반을 가동하고, 원숭이두창에 대한 법정감염병 2급 지정을 추진하다고 밝혔습니다.

원숭이두창에 대한 질의응답
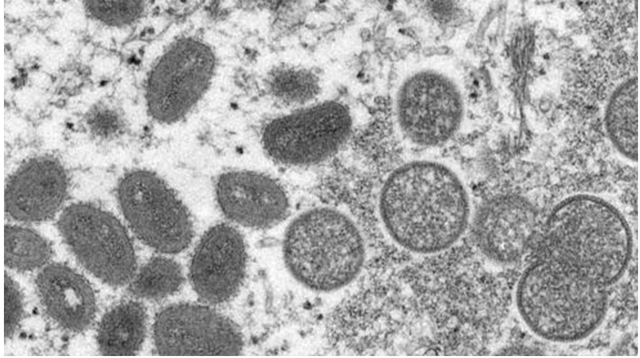
● 원숭이두창은 어떤 병인가?
- 원숭이두창 바이러스 감염에 의한 급성 발열 발진성 질환으로 증상은 두창과 유사하나 중증도는 낮은 것으로 보고되고 있습니다.
● 원숭이두창은 어떻게 감염되는가?
- 인수공통감염병으로 동물→사람, 사람→사람, 감염된 환경→사람 간 접촉 등을 통해 감염이 가능합니다.
현재까지는 쥐와 같은 설치류가 주 감염 매개체로 지목되고 있으며, 주로 유증상 감염환자와의 밀접 접촉을 통해 감염됩니다.
또한 호흡기 전파도 가능하나 바이러스가 포함된 미세 에어로졸을 통한 공기전파는 흔하지는 않기 때문에 코로나19처럼 전파력이 높은 질환은 아닙니다.
감염 환자의 혈액 또는 체액(타액, 소변, 구토물 등) 등이 피부상처 또는 점막을 통해 직접 접촉해 감염되거나, 환자의 혈액이나 체액으로 오염된 옷, 침구류, 감염된 바늘 등이 사람의 점막, 피부 상처 등에 접촉 감염될 수 있습니다.
감염된 원숭이, 다람쥐 등 동물가의 직접 접촉으로도 감염될 수 있습니다.
● 원숭이두창의 증상은?
- 발열, 발진, 두통, 근육통, 허리 통증, 무기력감, 림프절 부종 등이 있습니다.
발진은 일반적으로 발열 후 1~3일 이내 시작하며 얼굴, 손바닥, 발바닥에 집중하여 나타나는 경향이 있고, 간혹 입, 생식기 또는 안구에도 나타날 수 있습니다. 이러한 발진 등 임상증상은 약 2~4주 지속될 수 있습니다.
● 원숭이두창 예방을 위한 백신 접종이 가능한가요?
- 국내 비축하고 있는 두창 백신은 생물테러 또는 국가의 공중보건 위기 상황 시 사용할 목적으로 비축하고 있는 것으로 현재, 일반 국민 접종은 검토하고 있지 않습니다.
'잡다구리' 카테고리의 다른 글
| 토익 독학으로 공부하는 방법(시험일정, 준비물, 시험구성) (0) | 2022.07.06 |
|---|---|
| 6월 6일 현충일(조기 게양 방법, 시간) (0) | 2022.06.05 |
| 밀양 산불 발생 (0) | 2022.05.31 |
| 루나 2.0 부활(+에어드랍) (0) | 2022.05.27 |
| 원숭이두창이란?(치료법, 증상, 치사율) (3) | 2022.05.25 |
댓글